K
SHETRAPAL ORTHODONTIC CENTRE, KOTA
Home
About Us
Cases
Clinics
Analyze Smile
Options
Braces & You
Contact
Cases
Home
Portfolio
Cases
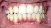
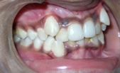
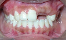
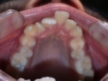
All the photographs shown below are of patients treated by Dr. Abhishek Kshetrapal
Case-1
Before
After
Before
After
Case-2
Before
After
Before
After
Case-3
Before
After
Before
After
Case-4
Before
After
Before
After
Case-5
Before
After
Before
After
Case-6
Before
After
Before
After
Case-7
Before
After
Before
After
Case-8
Before
After
Case-9
Before
After
Case-10
Before
After
Case-11
Case-12
Case-13
Case-14